
qXR-HFQure.ai
Reduces the chances of late diagnoses, under-diagnoses and even potential misdiagnoses to deliver better patient care
Vendor
Qure.ai
Company Website



Product details
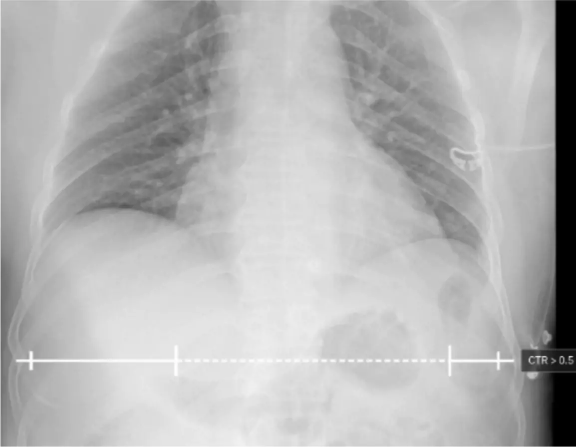
Incidental Detection of Heart Failure Risk
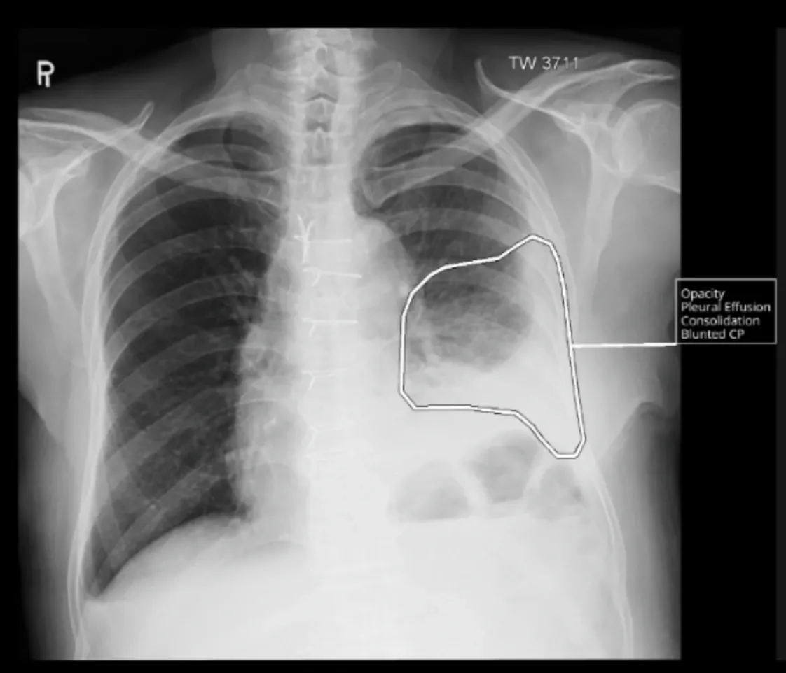
- Pre-read assistance: Bounding boxes for visual aid
- Real Time Notifications
- Supports all major CR, DR and ultraportable X-rays.
- Can be deployed on-cloud or on-premises.
AI for CXRs
Reduces the chances of late diagnoses, under-diagnoses and even potential misdiagnoses to deliver better patient care