
qMSKQure.ai
Works on 15+ anatomies. Reduces the chances of late diagnoses, under-diagnoses, and even potential misdiagnoses to deliver better patient care.
Vendor
Qure.ai
Company Website




Product details
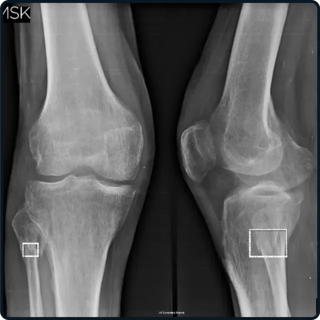
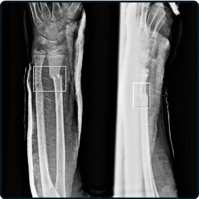
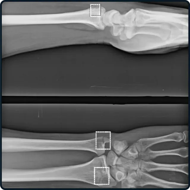
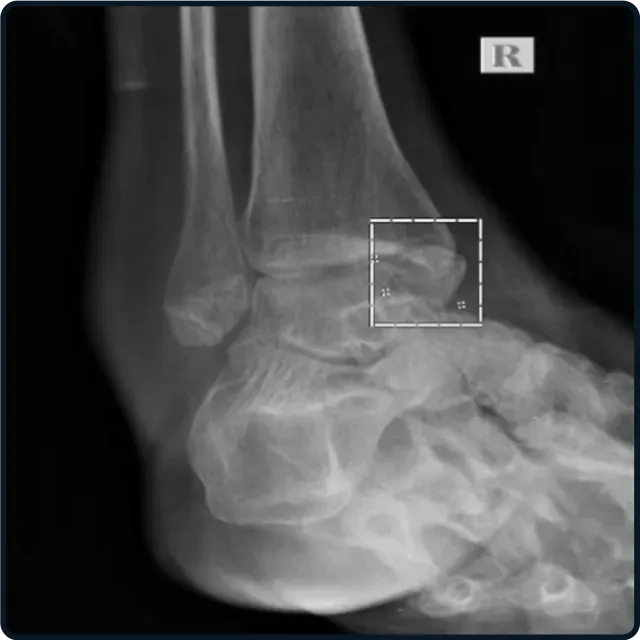
AI Assistant for Trauma MSK X-rays
- Avoid satisfaction of search bias - catch multiple fractures
- Works on multiple views
- Reduce Diagnostic errors by catching subtle fractures
- Track progress in fracture healing
- Processes scans in <20 sec
- Pre-read assistance: Bounding boxes for visual aid
- Worklist prioritisation & auto filters for valid body parts
- Can be deployed on cloud or on-premises
- Supports all major CR, DR & ultraportable X-rays
AI for MSK
Works on 15+ anatomies. Reduces the chances of late diagnoses, under-diagnoses, and even potential misdiagnoses to deliver better patient care.