
EZFluence simplifies 3D planning with powerful automation—right from the treatment planning system workspace. Designed to optimize eComp* and field-in-field techniques **, it delivers up to 85% time savings while maintaining or enhancing plan quality. Compatible with any beam arrangement and treatment site, EZFluence brings consistency, efficiency, and confidence to every plan from head to toe.
Vendor
Radformation
Company Website




EZFluence is an FDA 510(k) cleared automated 3D planning software developed by Radformation. It simplifies and accelerates the creation of optimal fluence files and field-in-field plans for radiation therapy. Compatible with Eclipse™, Monaco®, and RayStation®, EZFluence integrates directly into the treatment planning system workspace, enabling clinicians to automate planning for any beam arrangement and treatment site—from head to toe. Designed to optimize electronic compensation (eComp) and field-in-field (FiF) techniques, EZFluence ensures consistency, efficiency, and confidence in every plan. It supports ASTRO guidelines for whole breast treatment and includes tools for simultaneous integrated boost, lung, pelvis, whole brain, and extremity planning.
Features
- TPS Compatibility: Works with Eclipse™, Monaco®, and RayStation®.
- Automated Fluence Generation: Creates optimal fluence files and FiF plans for direct import.
- Any Site, Any Configuration: Supports all beam arrangements and treatment sites.
- 3D Plan Builder: Converts IMRT or VMAT plans into 3D plans for billing justification (Eclipse only).
- Breast Planning:
- Follows ASTRO guidelines
- Automates FiF and e-comp planning
- Preserves MLC blocking
- Generates fluence for flash regions
- Supports single/mixed energy plans
- Auto-contours PTV Eval
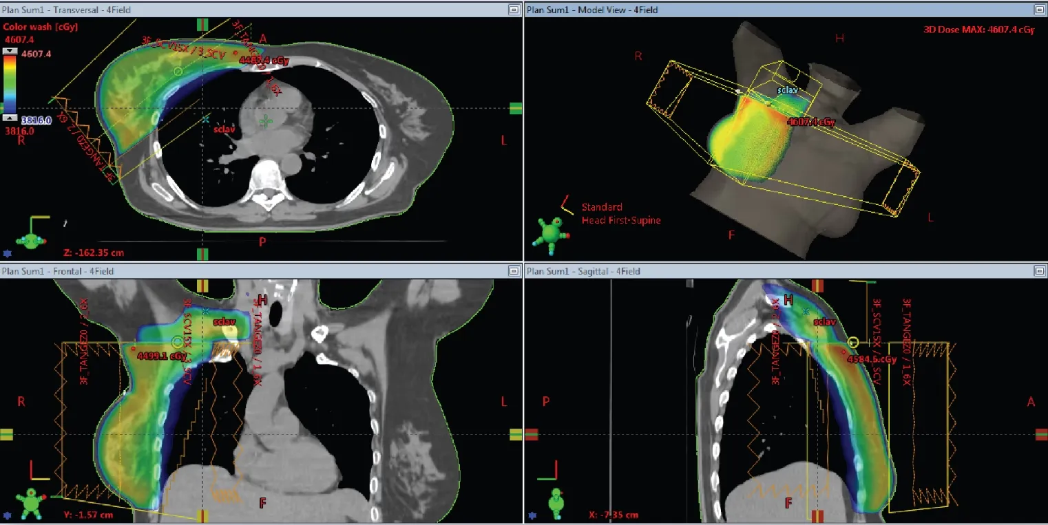
- 3 & 4 Field Breast Planning:
- Automates SCLAV and PAB field weighting
- Controls match line in monoisocentric plans
- Simultaneous Integrated Boost:
- Supports RTOG 1005 protocol
- Instantly plans integrated boost to lumpectomy volumes (Eclipse only)
- Lung Planning:
- Homogeneous dose distributions
- Supports non-coplanar beams
- Eliminates wedges and manual FiF planning
- Pelvis Planning:
- Automates fluence or FiF segments for lateral beams
- Compatible with single/mixed energies
- Whole Brain FiF:
- Custom segment generation
- User-defined segment count per field
- Extremities & More:
- Supports larynx, shoulder, hips, ribs, AP-PA spine
Benefits
- Time Savings: Up to 85% reduction in planning time; tangent plans reduced from 25.6 to 3.7 minutes.
- Improved Plan Quality: Maintains or enhances quality compared to manual techniques.
- Standardization: Ensures consistent planning across users and sites.
- Ease of Use: Integrated directly into TPS workspace; no wedges or manual adjustments needed.
- Versatility: Applicable to all treatment sites and beam configurations.
- Clinical Confidence: Enables fast, accurate planning with high coverage and minimal hot spots.